Child

Kerosine ingestion is also known as paraffin ingestion.Thank you for reading this post, don't forget to subscribe! Kerosine is an oily petroleum

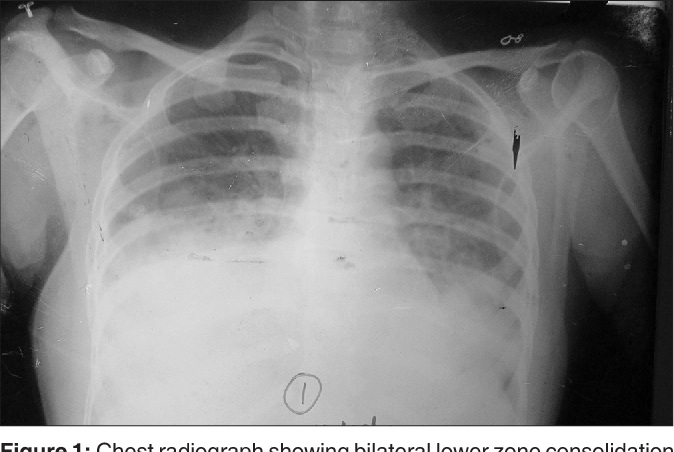
Thank you for reading this post, don't forget to subscribe!

    This is defined as the changes in the baby’s heart rate, movement, or oxygen level during the period of pregnancy, before

Drowning is the condition of experiencing respiratory impairment from submersion in liquid, in most cases, water.Thank you for reading this post, don't

Convulsion is a sudden, involuntary shaking of one or all parts of the body due to muscle contraction caused by an abnormal

Choking is a blockage of the upper airway by food or other objects, which prevents a person from breathing effectively. Choking can

Did you know that babies born at six and a half months (28 weeks) can survive in Nigeria? Thank you for reading

Cellulitis is the inflammation of the skin and subcutaneous tissues due to a bacterial infection.Thank you for reading this post, don't forget

DefinitionThank you for reading this post, don't forget to subscribe! This refers to the inflammation of the appendix as a result of

Anthrax is a bacterial disease that is spread from animals to humans. If not treated early, it can be a deadly disease.

What can I do or not do during pregnancy? Thank you for reading this post, don't forget to subscribe! How do I

Modes of delivery refer to the various methods through which a baby is born. Thank you for reading this post, don't forget

In this video, the doctor talks about the causes of high blood sugar, and what you may notice if your blood sugar

Thank you for reading this post, don't forget to subscribe! Rabies is a very deadly infection transmitted to human through animal bites,

Measles is a highly contagious viral infection that primarily affects children under 5 years of age. It remains a leading cause of

Cholera is an acute diarrheal illness caused by infection of the intestine with the bacterium Vibrio cholerae. Though the disease can be

Thank you for reading this post, don't forget to subscribe! Pneumonia refers to infection of the lung. The lung is the organ

Thank you for reading this post, don't forget to subscribe! It is also called enteric fever, and is caused by bacterium called

Thank you for reading this post, don't forget to subscribe! Malaria is a common infection caused by Plasmodium. Malaria is a common

Thank you for reading this post, don't forget to subscribe! It may occur alongside diarrhea, abdominal cramps, or fever. Vomiting (throwing-up) is

Thank you for reading this post, don't forget to subscribe! Commonly there is no identifiable cause, most cases are not life-threatening and

Diarrhea is one of the leading causes of illness and death in children, primarily due to its effects of dehydration and malnutrition.

Thank you for reading this post, don't forget to subscribe! The ear wax also cleans the ear, and normally moves out of

Thank you for reading this post, don't forget to subscribe! What you perceive may be a kick, a roll or flutter. The

Thank you for reading this post, don't forget to subscribe! A vaccine is a drug/injection given to a person to make him/her

Thank you for reading this post, don't forget to subscribe! The national policy on infant and young child feeding advocates exclusive breastfeeding

Thank you for reading this post, don't forget to subscribe! Your child should have a road-to-health card in which a regular record

Thank you for reading this post, don't forget to subscribe! There are two stages in teething; the first stage is appearance of

Thank you for reading this post, don't forget to subscribe! Jaundice is yellowness of a baby’s eyes and or skin. It occurs

Thank you for reading this post, don't forget to subscribe! A newborn girl may have little bloody discharge from her vagina. A

Thank you for reading this post, don't forget to subscribe! Presence of white patches on your baby’s tongue may be one of

Thank you for reading this post, don't forget to subscribe! The umbilical cord remnant or stump usually dry up and fall off

Thank you for reading this post, don't forget to subscribe! Eyes Discharges… Possible causes include Infection acquired while passing through the mother’s

Thank you for reading this post, don't forget to subscribe! It is normal for a baby to cry frequently especially in the

Thank you for reading this post, don't forget to subscribe! Big breast is called gynecomastia. It is caused by exposure of the

Thank you for reading this post, don't forget to subscribe! Convulsion is an abnormal uncontrollable jerky movement of the body Convulsion is

Thank you for reading this post, don't forget to subscribe! Common Causes Of Fever in Children… Common causes of fever in children

Thank you for reading this post, don't forget to subscribe! Constipation means passage of hard stool or reduction in frequency of stooling.

Thank you for reading this post, don't forget to subscribe! Common cold is caused by viruses, and is common especially during the